Unraveling the Mystery of Aging Blood: Scientists Discover MLKL Drives Stem Cell Decline Through Mitochondrial Damage Without Cell Death

The human body’s remarkable ability to regenerate and repair itself largely depends on specialized stem cells, and none are more vital than hematopoietic stem cells (HSCs). These master cells, residing predominantly in the bone marrow, are the progenitors of all blood and immune cell types, constantly renewing the body’s defenses and oxygen carriers. However, as individuals age, this intricate system gradually falters. The vigor of the blood and immune systems wanes, marked by a decline in HSC efficiency. These foundational stem cells become less adept at self-renewal, their proliferative capacity diminishes, and their output shifts, often favoring myeloid cells over the crucial lymphoid cells responsible for adaptive immunity. Consequently, the elderly often experience impaired immune responses, increased susceptibility to infections, slower recovery from illness, and a higher risk of blood disorders like anemia or myelodysplastic syndromes.
The Complex Tapestry of Aging’s Impact on HSCs
The deterioration of HSC function is a multifaceted process, believed to be driven by an accumulation of cellular insults over decades. Scientists have identified several key contributors to this age-related decline. These include the relentless accumulation of cellular damage from oxidative stress and DNA mutations, epigenetic alterations that change gene activity without modifying the DNA sequence itself, chronic low-level inflammation often referred to as "inflammaging," and significant shifts in the microenvironment of the bone marrow where HSCs reside. This intricate interplay of stressors creates a hostile milieu for HSCs, progressively eroding their capacity. Despite extensive research, a comprehensive understanding of how these diverse stresses converge to specifically impair HSC function, particularly at a molecular level that doesn’t immediately lead to cell death, has remained elusive. This knowledge gap has historically limited the development of targeted interventions to preserve youthful blood and immune system function.
Pioneering Research Uncovers a Novel Mechanism
In a significant stride toward bridging this knowledge gap, a collaborative research team from The University of Tokyo, Japan, and St. Jude Children’s Research Hospital, USA, embarked on an ambitious investigation. Their objective was to dissect the molecular pathways through which age-related stress manifests its detrimental effects on HSCs. The researchers honed in on a specific signaling axis: the receptor-interacting protein kinase 3 (RIPK3)-mixed lineage kinase like (MLKL) pathway. Traditionally, this pathway has been recognized primarily for its role in necroptosis, a distinct form of programmed necrotic cell death characterized by cellular swelling and membrane rupture, rather than the more orderly process of apoptosis. The initial premise of the study was to explore whether components of this pathway might contribute to HSC aging, potentially through inducing cell death.
The study was spearheaded by Dr. Masayuki Yamashita, who currently serves as an Assistant Member at St. Jude Children’s Research Hospital. During the critical period of this investigation, Dr. Yamashita held the position of Assistant Professor at The Institute of Medical Science, The University of Tokyo, highlighting the international and collaborative nature of modern biomedical research. He worked alongside esteemed colleagues, including Dr. Atsushi Iwama from The Institute of Medical Science, The University of Tokyo, and Dr. Yuta Yamada, then a graduate student at The Institute of Medical Science, The University of Tokyo, and now affiliated with St. Jude Children’s Research Hospital. Their combined expertise in stem cell biology, immunology, and molecular mechanisms of disease provided a robust foundation for this groundbreaking work.
A Surprising Turn: MLKL’s Non-Lethal Influence
The genesis of this pivotal discovery lay in an unexpected observation. Dr. Yamashita recounted the critical moment: "We discovered an unexpected phenotype in HSCs of MLKL-knockout mice repeatedly treated with 5-fluorouracil, where aging-associated functional changes were markedly attenuated despite no detectable difference in HSC death, prompting us to investigate whether this pathway might induce functional changes beyond cell death." This initial finding was a revelation. It challenged the prevailing dogma that MLKL’s primary contribution to cellular pathology was exclusively through its role in orchestrating cell death. The fact that the absence of MLKL could mitigate signs of aging in HSCs without altering cell survival rates suggested a novel, non-lethal function for this protein in the context of stem cell senescence. This conceptual shift became the central hypothesis driving the subsequent, more detailed investigations. The full implications of this research are detailed in a forthcoming publication in Volume 17 of the esteemed journal Nature Communications, scheduled for April 6, 2026.
Dissecting the Mechanism: A Multilayered Approach
To rigorously test their new hypothesis, the research team deployed an array of sophisticated genetic and cellular methodologies. They utilized several lines of genetically engineered mice, including wild-type controls, MLKL-deficient mice (where the MLKL gene was inactivated), and RIPK3-deficient mice (lacking the upstream activator of MLKL). A particularly innovative tool was the use of specialized reporter mice, which incorporated a Förster resonance energy transfer (FRET)-based biosensor. This biosensor allowed for real-time detection and visualization of MLKL activation within living cells, providing unprecedented insight into its dynamic behavior.
The experimental design meticulously mimicked various age-related stress conditions known to impact HSCs. These included inducing systemic inflammation, creating replication stress (which challenges cells’ ability to accurately copy their DNA), and introducing oncogenic stress (which can drive uncontrolled cell growth and exhaustion). To quantify the functional integrity of HSCs under these conditions, the researchers primarily relied on the gold standard for assessing stem cell potency: bone marrow transplantation. This technique involves transplanting donor HSCs into recipient mice, allowing researchers to gauge the stem cells’ ability to reconstitute a complete and healthy blood system over time, a direct measure of their regenerative capacity.
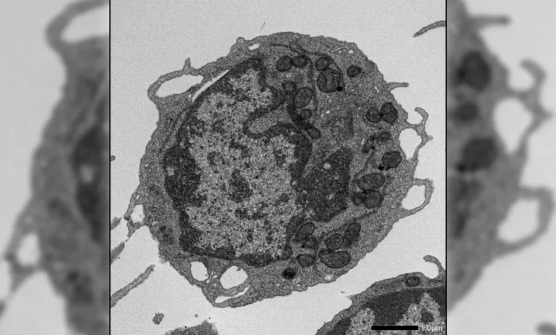
Beyond functional assays, the team employed a suite of advanced molecular and cellular techniques to probe the intricate effects of MLKL activation. Flow cytometry provided detailed analysis of cell populations and surface markers. Ex vivo expansion studies assessed the proliferative potential of HSCs outside the body. RNA-sequencing (RNA-seq) was used to analyze global gene expression changes, offering a snapshot of which genes were being turned on or off. The assay for transposase-accessible chromatin using sequencing (ATAC-seq) provided insights into chromatin accessibility, revealing how DNA packaging might influence gene regulation. High-resolution imaging techniques allowed for detailed visualization of cellular structures. Metabolic testing shed light on energy production pathways, and meticulous studies of mitochondria — the cellular powerhouses — were conducted to investigate their structural and functional integrity. Collectively, these diverse approaches provided a comprehensive, multi-scale view of how MLKL influences HSC function, from the molecular level to the whole-organism level.
Mitochondrial Damage: The Core of MLKL’s Non-Lethal Role
The exhaustive investigations yielded a profound and previously unrecognized role for MLKL in the aging process of stem cells. Contrary to its established identity as a mediator of cell death, MLKL’s activation in HSCs did not result in an increase in cell death or a reduction in the overall number of HSCs. Instead, its actions unfolded through a distinct, non-lethal mechanism.
When activated by various forms of cellular stress, MLKL exhibited a remarkable transient translocation to the mitochondria. Once associated with these vital organelles, MLKL initiated a cascade of detrimental effects. It was observed to reduce mitochondrial membrane potential, a critical indicator of mitochondrial health and energy generation efficiency. Furthermore, MLKL activation led to structural alterations within the mitochondria, compromising their integrity, and significantly impaired their ability to produce adenosine triphosphate (ATP), the cell’s primary energy currency. These mitochondrial dysfunctions, occurring without outright cell death, proved to be the underlying drivers of key aging phenotypes in HSCs. Specifically, they resulted in a diminished capacity for self-renewal, a reduced output of lymphoid cells essential for adaptive immunity, and a pronounced skewing of differentiation towards myeloid cell lineages, contributing to the age-associated imbalance in the immune system.
Preserving Youthful Function: The Promise of MLKL Inhibition
A crucial aspect of the study involved examining the effects of MLKL removal or inactivation. The results were striking: when MLKL was genetically deleted or its activity inhibited, many of the age-related pathologies observed in HSCs were significantly mitigated. HSCs lacking MLKL demonstrated a remarkable preservation of their regenerative capacity, maintaining their ability to effectively rebuild the blood system. They produced a healthier and more balanced repertoire of immune cells, exhibited substantially less DNA damage, and maintained superior mitochondrial function compared to their wild-type counterparts. These beneficial effects were consistently observed, even in aged animals or under conditions of intense cellular stress, underscoring the therapeutic potential of targeting MLKL.
Intriguingly, these profound improvements in HSC function occurred without significant alterations in global gene expression patterns or chromatin accessibility. This observation is particularly important as it suggests that MLKL influences stem cell aging primarily through post-transcriptional mechanisms, directly impacting cellular machinery and organelles like mitochondria, rather than through widespread changes in DNA regulation or triggering inflammatory cascades. This points to a more direct, structural, and functional level of cellular damage induced by MLKL, offering a refined understanding of its role beyond gene regulation.
Broader Implications for Aging and Future Therapeutic Strategies
The findings of this groundbreaking study illuminate a critical, previously unappreciated pathway that links diverse cellular stresses directly to mitochondrial dysfunction and the subsequent aging of hematopoietic stem cells. By unequivocally identifying MLKL as a central mediator in this process, the research offers a paradigm shift in our understanding of how aging impacts the vital blood and immune systems.
Dr. Yamashita articulated the far-reaching implications of their discovery: "In the longer term, this research could lead to therapies that preserve the function of hematopoietic stem cells, ultimately improving recovery and long-term health for patients undergoing chemotherapy, radiation, or transplantation. By revealing how non-lethal activation of cell-death pathways drives stem cell aging, these findings may inspire new classes of mitochondrial-protective or necroptosis-modulating drugs." This holds immense promise for patient populations who currently face severe limitations due to age-related decline in HSC function. Elderly individuals undergoing intensive treatments like chemotherapy or radiation for cancer often experience prolonged periods of immunosuppression and anemia because their aging HSCs struggle to recover. Similarly, the success of bone marrow transplantation, a life-saving procedure, is often hampered by the quality and regenerative capacity of the donor stem cells, which can decline with age. Therapies that could protect or rejuvenate HSCs by targeting MLKL could revolutionize treatment outcomes for these vulnerable patients.
Furthermore, the discovery that a protein traditionally associated with cell death can exert non-lethal, deleterious effects on mitochondrial function opens up entirely new avenues for drug development. It suggests that drugs designed to protect mitochondria or to modulate necroptosis pathways could be repurposed or developed to specifically counteract age-related stem cell decline. This could extend beyond HSCs, potentially impacting other stem cell populations in various tissues, offering a broader strategy for healthy aging. The scientific community is likely to view this study as a significant intellectual leap, challenging established definitions of cellular pathways and offering a fresh perspective on the molecular underpinnings of aging.
A New Understanding, A New Horizon for Anti-Aging Therapies
In conclusion, this landmark study fundamentally redefines the role of MLKL, demonstrating its critical involvement in hematopoietic stem cell aging not by inducing cell death, but by directly damaging mitochondria in response to cellular stress. This non-lethal, yet profoundly detrimental, mechanism progressively weakens HSC function over time. This discovery not only challenges traditional views of necroptosis-related proteins but also unveils a novel target for intervention. By understanding and potentially modulating MLKL’s activity, scientists and clinicians may unlock new possibilities for slowing or even preventing the age-related decline in the human blood and immune systems, paving the way for healthier, more resilient aging. The publication in Nature Communications in 2026 is poised to mark a pivotal moment in the ongoing quest to understand and combat the complexities of human aging.







