General Health News
-
A Doctor Says Most People Getting Lens Replacement Surgery Are Never Warned About One Critical Mistake — And
The Aging Eye: A Universal Challenge As individuals cross the threshold of 45, a biological certainty begins to unfold within…
Read More » -
Metformin Offers Surprising Insulin Reduction for Type 1 Diabetes Patients, New Garvan Institute Trial Reveals
A groundbreaking new clinical trial spearheaded by the Garvan Institute of Medical Research, published recently in Nature Communications, has unveiled…
Read More » -
That Dizzy Spell When You Stand Up Too Fast May Be Your Body Running Low On Something Most People Ignore
The sudden onset of dizziness, blurred vision, or even a momentary blackout upon quickly rising from a seated or lying…
Read More » -
Aggressive Blood Pressure Control Offers Greater Health Benefits and Proves Cost-Effective, New Mass General Brigham Research Suggests
Recent comprehensive research from Mass General Brigham has presented compelling evidence suggesting that adopting a more aggressive approach to blood…
Read More » -
Doctors called him a bad patient when his blood sugar wouldn’t drop — 15 years later he reached remission without a single pill.
This remarkable achievement is not a fictional narrative but the real-life experience of Francisco, a 69-year-old man who defied a…
Read More » -
Common IBS medications linked to higher risk of death in major study
A groundbreaking large-scale study, spearheaded by researchers at Cedars-Sinai Health Sciences University, is sending ripples through the medical community, raising…
Read More » -
Why the 13-Hour Overnight Fast is a Superior Health Strategy for Individuals Over 50, Outperforming Trendier 16:8 Protocols
In an era saturated with health trends and complex dietary regimens, a remarkably simple and cost-free intervention is gaining significant…
Read More » -
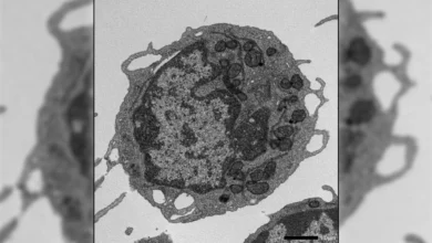
UCLA Scientists Uncover "Zombie" Immune Cells Driving Aging and Fatty Liver Disease, Paving Way for Novel Therapeutic Strategies
UCLA scientists have made a significant breakthrough, identifying a previously overlooked yet highly detrimental group of immune cells that stealthily…
Read More » -
If you take Losartan for blood pressure, doctors say there are several common medications and supplements most patients were never told to avoid.
Losartan, widely recognized by its brand name Cozaar, is a cornerstone medication for millions globally, primarily prescribed for the management…
Read More » -
Unraveling the Mystery of Aging Blood: Scientists Discover MLKL Drives Stem Cell Decline Through Mitochondrial Damage Without Cell Death
The human body’s remarkable ability to regenerate and repair itself largely depends on specialized stem cells, and none are more…
Read More »